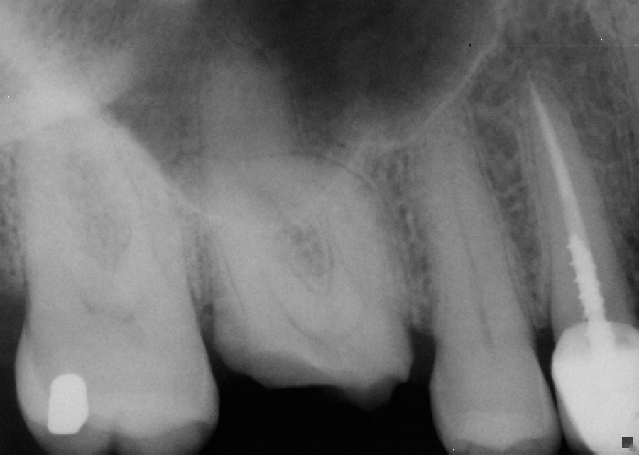
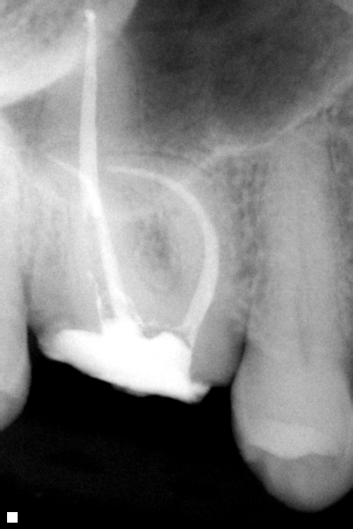
What is a Curved Canal?
This is a root canal for a first maxillary molar (tooth #3) where an old crown (over 10 year old crown) fell out due to decay around the margin. As you can see there was a very curved canal which required additional time for proper root canal treatment. This tooth will now be restored with a post and crown allowing the patient to keep the tooth.



