Long Island Endodontist explains why root canals fail.
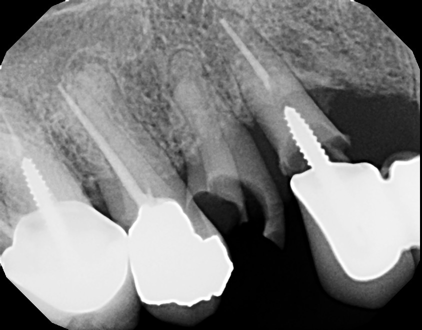
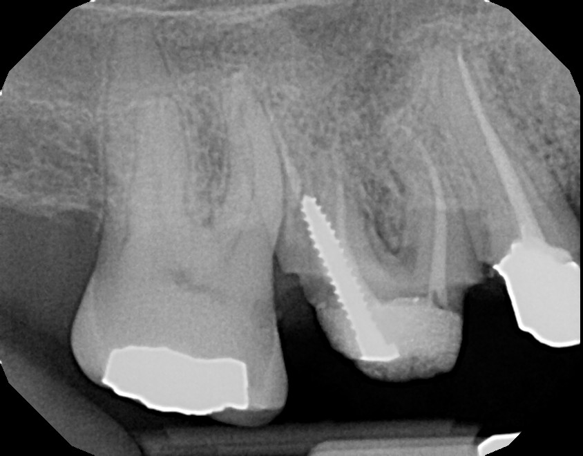
This is a root canal retreatment procedure of 2nd maxillary premolar (tooth #4) due to a missed canal which caused infection. An additional canal was located, both canals were retreated and the tooth will be restored with a crown. The first maxillary molar (tooth #3) needs to be retreated (redone) as well because of infection, due to inadequate root canal therapy. Always ask your general dentist for a referral to an endodontist (root canal specialist) for your root issues.





