Great Neck and Long Island Endodontist shares his experiences with root canals
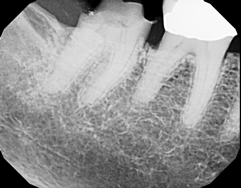
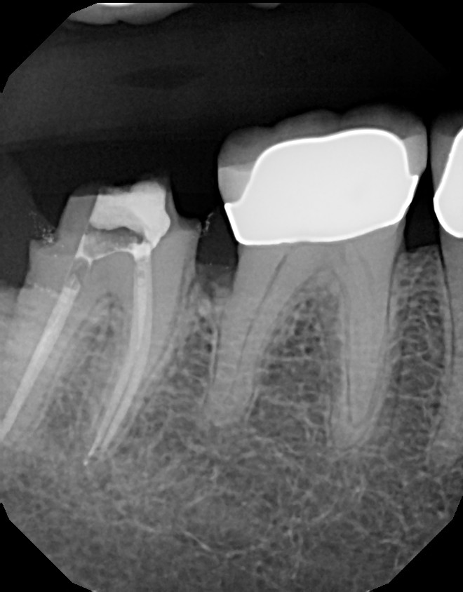
Below are pictures of a recent case of mine. This 10+ year old crown that developed decay (cavity) around the margin where tooth meets crown. Always pay attention to sensitivity around fillings and crowns and advise your dentist when symptoms develop, so you can stay away from roots canals. In this particular case, root canal was required because the decay reached too close to the nerve.





