Long Island Endodontist shares a case on dental crowns
Large fillings can crack/fail over time requiring crowns which can occasionally cause sensitivity and discomfort.
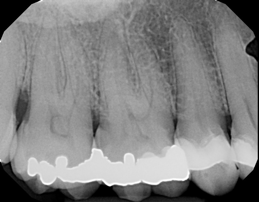
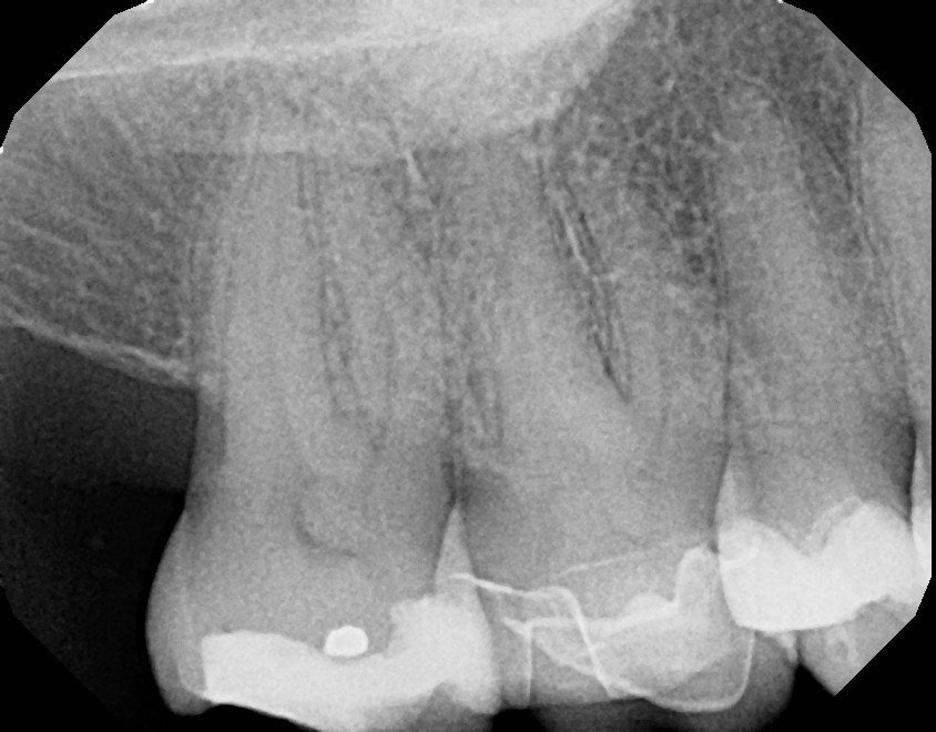
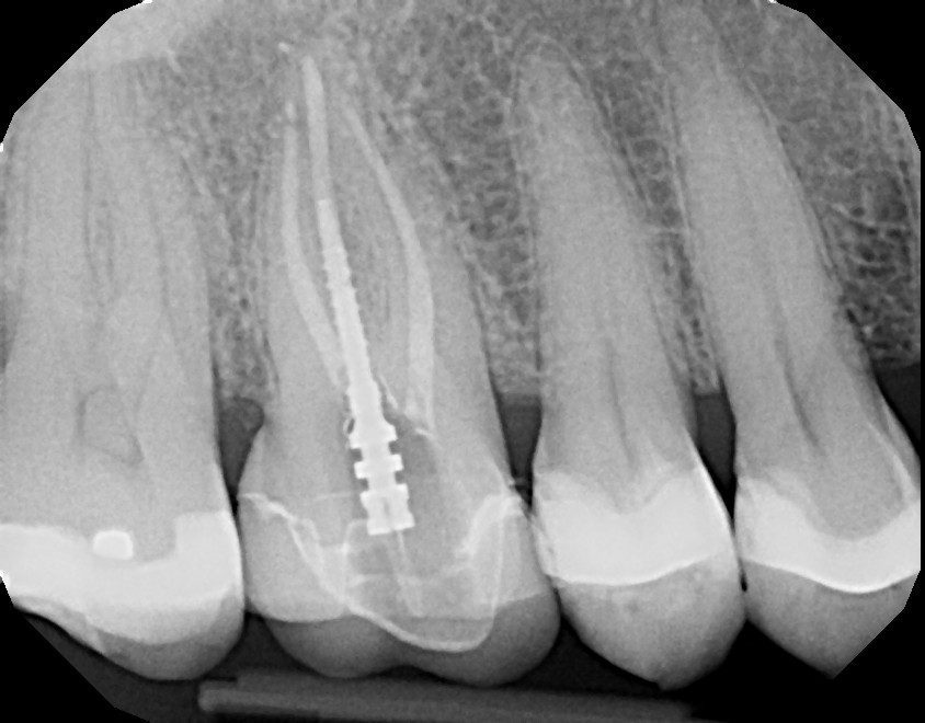
This is a first maxillary molar (tooth #3) that over time required a crown due to a large failing filling. On average, fillings last 5-8 years depending on the size and type of filling with proper oral hygiene, including daily flossing. This patient was advised of possible sensitivity that can occur after crown preparation. Prior to final/permanent crown cementation, tooth #3 became extremely sensitive to hot, cold, and bite and required root canal therapy. With patient education and referral to an endodontist, the final crown was not cemented on prior to root canal therapy. This avoided additional, unnecessary steps. Always ask your dentist/endodontist questions if you feel something doesn't feel right with your teeth, especially after dental work.





