Long Island Endodontist explains the importance of having your tooth pain checked out.
Why it is important to see your dentist when you are experiencing pain to hot, cold, or while chewing?
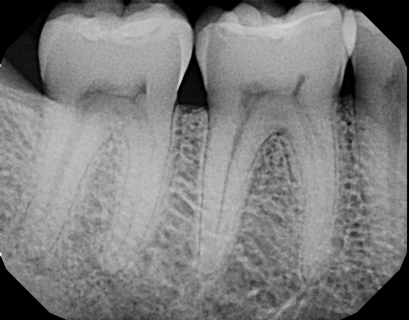
This second mandibular molar (tooth #31) never had any fillings in the past but started feeling sensitive to hot, cold, and bite. Upon examination, the tooth revealed a crack on the crown portion which required a root canal and crown. If this patient did not notify their dentist to refer them for an examination with an endodontist, tooth extraction would eventually become the only alternative. With proper treatment, this patient kept their tooth, saved a lot of money avoiding an implant, and had a dental night guard fabricated because they were a grinder/clencher who was damaging their teeth unknowingly.



